中国科学家,发现抗癌“新利器”!
你是否会因接触花粉而喷嚏不断,或是困扰于品尝海鲜导致的红肿瘙痒?中国科学家敏锐地捕捉到了这类过敏反应中的玄机,并尝试把这种过度的免疫响应转化为对抗肿瘤的“新利器”。12月10日,相关论文发表于国际学术期刊《细胞》。

图为基于IgE致敏肥大细胞的靶向药物递送平台构建及其抗肿瘤机制示意图。(课题组供图)
医学专家介绍,人体免疫系统中驻扎着一类反应迅速的“哨兵”——肥大细胞,与启动缓慢的常规免疫不同,肥大细胞会在免疫球蛋白E(IgE)识别到特定抗原的数秒内释放装载炎症因子的囊泡,在局部引发炎症反应清除病原体,调动免疫防御系统起到保护机体的作用。然而,肥大细胞在遇到海鲜、花粉、尘螨等常见环境抗原时,也可将它们判别为危险信号,“过度防卫”引起打喷嚏、皮疹甚至呼吸困难等过敏症状。
课题组负责人之一、浙江大学药学院教授顾臻说,肥大细胞的免疫过激与肿瘤组织的免疫抑制,在机制上存在潜在的关联性。这启发团队思考,是否可以在“过度”和“不足”间搭建一个桥梁,通过诱导肿瘤产生过敏反应来破解免疫抑制的难题。
于是,研究团队尝试把肿瘤抗原作为刺激肥大细胞活化的特定过敏原,通过将针对性识别肿瘤抗原的IgE抗体结合到肥大细胞表面,使其具备精准识别肿瘤的能力。
“将肥大细胞这一特殊的致敏细胞打造成靶向药物,兼具精准聚集和快速激活的优势。”顾臻介绍,利用肿瘤相关抗原作为“过敏原”,刺激肥大细胞在体内主动聚集至肿瘤部位,诱发“肿瘤过敏反应”,实现对肿瘤组织的精准识别和迅速免疫激活,同时可作为“活细胞载体”装载溶瘤病毒等药物发挥疗效。
后续实验结果显示,在黑色素瘤、乳腺癌与肺转移瘤等小鼠模型中,装载溶瘤病毒的肥大细胞均呈现出明显的肿瘤抑制效果,并显著提升了肿瘤中T细胞的浸润及活化水平。

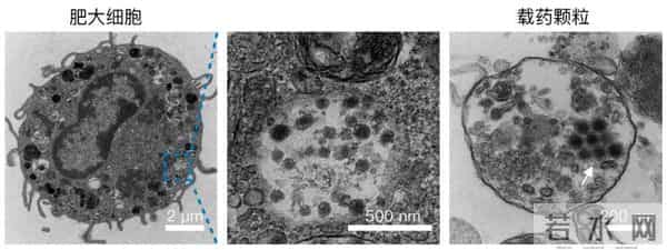
图为装载溶瘤病毒的肥大细胞透射电镜图片(左);细胞内部含有溶瘤病毒的颗粒的放大图(中);经脱颗粒释放到胞外的含有溶瘤病毒的颗粒透射电镜图(右)。(课题组供图)
“这为未来的精准治疗提供了可能。”顾臻表示,每位患者的肿瘤抗原都可能成为引导肥大细胞进入肿瘤的“过敏信号”,从而实现为患者量身定制的肿瘤过敏免疫疗法。“我们团队下一步将推进患者特异IgE筛选流程、工艺放大优化以及与现有免疫疗法的联合策略等,并着手开展临床转化工作。”
(来源:央视网)
声明:本站所有文章资源内容,如无特殊说明或标注,均为采集网络资源。如若本站内容侵犯了原著者的合法权益,可联系本站删除。
