美国团队肠癌类器官最新研究:这两个基因一旦失灵,癌细胞秒变“暴走坦克”
癌症是全球主要死因之一,而在所有癌症中, 结直肠癌的死亡率排名第二 ,2020年造成超过90万人死亡。
在美国,结直肠癌的发病率正在上升——尤其在年轻人中。尽管靶向治疗和免疫疗法取得进展,转移性患者仍面临极差的预后。阐明结直肠癌转移的分子通路,有望带来更好的治疗手段。
如今, 美国宾夕法尼亚大学的Christopher J. Lengner与M. Andrés Blanco团队 在前期模型中鉴定出两个可抑制结直肠癌转移的基因,相关研究发表于《PNAS》期刊中。
文章介绍

题目:在工程化结直肠癌类器官中进行的正向遗传筛选识别出转移调控因子
英文题目: Forward genetic screening in engineered colorectal cancer organoids identifies regulators of metastasis
杂志:Proceedings of the National Academy of Sciences of the USA
影响因子:9.1
PMID:41218116
发表时间:2025年11月
Lengner指出:“若能早期发现结肠癌,五年生存率非常高;但一旦转移,生存率低于10%。”
Blanco补充道:“ 转移几乎是所有癌症患者的致命原因 。我们希望通过这项研究破解转移之谜,并洞察癌症扩散的普遍生物学机制。”
研究团队利用CRISPR基因编辑技术,配合靶向约1,500个癌症相关基因的“RNA向导库”,系统性地逐一关闭这些基因,然后 通过前期模型评估其对转移的影响(即“筛选”) 。

Blanco打了个比方:“寻找转移相关基因就像在干草堆里找针,而筛选让我们能快速、高效地检查每一根干草。”
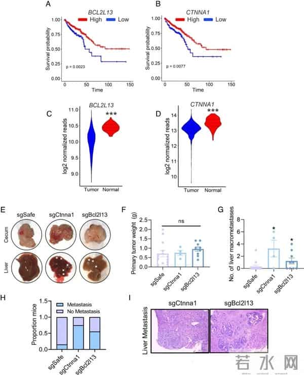
最终,他们锁定了 Ctnna1 与 Bcl2l13 为“真正的转移抑制基因”。

CTNNA1(α-连环蛋白)通过经典机制发挥作用 :它调控细胞如何爬行并侵入周围组织,帮助细胞紧密连接。一旦敲除,细胞便脱离邻居开始迁移。
BCL2L13(又称BCL-Rambo)则调控一种特定形式的细胞死亡 。结直肠癌源于上皮细胞,这些细胞通常彼此相连;一旦脱离组织层,就会触发死亡。BCL2L13促进这一过程,从而阻止脱离的细胞在错误位置存活。
Lengner指出,转移性细胞可能会抑制BCL2L13,以便在离开原发瘤后存活。

本研究还提出了一种研究转移遗传基础的新策略。
Lengner表示,CRISPR已“革命性”改变癌症生物学,但多数筛选使用肿瘤细胞系,难以真实模拟原发癌,更无法模拟转移;领域正向体内模型和类器官转变。
该团队将两种策略结合:先在结肠“肿瘤类器官”中引入突变,再在体内评估转移,证明可在体内肿瘤类器官中进行大规模遗传筛选 。

“我们选用携带人类最常见驱动突变、定义明确的模型,探讨在这些典型突变已启动癌症后,哪些基因会进一步推动其走向转移。”
Blanco指出,此前极少有研究在体内使用类器官进行筛选,“在结直肠癌领域,尤其转移性结直肠癌,几乎未见报道。独特之处在于, 我们将肿瘤类器官植入其原生组织,并观察其向原生转移部位扩散,从而可在与人类疾病高度相似的前期模型中,同时研究原发瘤生长与转移的遗传基础 。”

下一步,他们将筛选“促进转移”的基因。Blanco解释道:“从治疗角度,我们更想找到推动转移的基因,因为可以靶向抑制它们。”
Lengner补充说:“ 理论上,我们可用CRISPR激活库或其他可成药靶点库再次筛选,方法学已打通 。”正是两实验室工具的交叉融合,使这项研究成为可能。
参考文献:
Wang X, Cramer Z, Leu NA, Monaghan K, Durning K, Adams-Tzivelekidis S, Rhoades JH, Heintz J, Tian Y, Rico J, Mendez D, Petroni R, King AC, Kim MS, Matsuda R, Hanselman O, Shin AE, Carrera Rodríguez MF, Brodsky IE, Rustgi A, Li N, Lengner CJ, Andrés Blanco M. Forward genetic screening in engineered colorectal cancer organoids identifies regulators of metastasis. Proc Natl Acad Sci USA. 2025 Nov 18;122(46):e2510910122. doi: 10.1073/pnas.2510910122.
“
”
声明:本站所有文章资源内容,如无特殊说明或标注,均为采集网络资源。如若本站内容侵犯了原著者的合法权益,可联系本站删除。
